欢迎来到合成化学产业资源聚合服务平台化学加!客服热线 020-29116151、29116152
图片加载中
LOADING IMAGES
[CST]国外进口,兔抗,一抗,内参抗体,GAPDH (D16H11) XP ®兔单克隆抗体 #5174T[CST]国外进口,兔抗,一抗,内参抗体,GAPDH (D16H11) XP ®兔单克隆抗体 #5174T[CST]国外进口,兔抗,一抗,内参抗体,GAPDH (D16H11) XP ®兔单克隆抗体 #5174T[CST]国外进口,兔抗,一抗,内参抗体,GAPDH (D16H11) XP ®兔单克隆抗体 #5174T

[CST]国外进口,兔抗,一抗,内参抗体,GAPDH (D16H11) XP ®兔单克隆抗体 #5174T

CAS号 0-00-0
规格 20µl 100µl
纯度 来源/同种型兔IgG
货号 5174T
货期 ---
品牌 CST
库存 ---
注意:请务必与卖家联系核实单价库存,以确保您的资金安全及交易顺利。
参考价: ¥1806.00 元/瓶
货号 品牌 纯度 规格 参考价 货期

产品详情

详细信息(中文):
支持性数据
反应性 H M R Mk
灵敏度 内源性
MW (kDa) 37
来源/同种型 兔 IgG

使用 GAPDH (D16H11) XP® Rabbit mAb 对不同细胞系提取物进行蛋白质印迹分析。
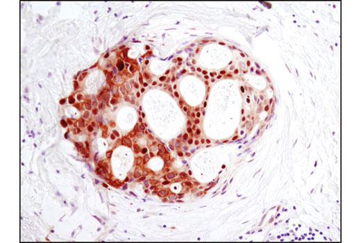
使用 GAPDH (D16H11) XP® Rabbit mAb 对石蜡包埋的人乳腺癌组织进行免疫组织化学分析。
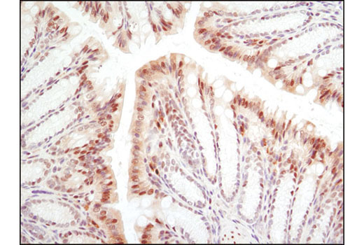
使用 GAPDH (D16H11) XP® Rabbit mAb 对石蜡包埋的小鼠结肠进行免疫组织化学分析。
使用 GAPDH (D16H11) XP® Rabbit mAb(绿色)对 C2C12 细胞进行共聚焦免疫荧光分析。使用 DY-554 phalloidin(红色)标记肌动蛋白纤丝。蓝色伪彩 = DRAQ5® #4084(DNA 荧光染料)。

应用关键词:
WB- 蛋白质印迹法 IP-免疫沉淀法 IHC-免疫组织化学法 ChIP-染色质免疫沉淀法 IF-免疫荧光法 F-流式细胞术 E-P-ELISA 肽
物种交叉反应性关键词:
H-人 M-小鼠 R-大鼠 Hm- 仓鼠 Mk-猴 Vir- 病毒 Mi-水貂 C-鸡 Dm-黑腹果蝇 X-爪蟾 Z-斑马鱼 B-牛 DG-犬 PG-猪 Sc-酿酒酵母 Ce-秀丽隐杆线虫 Hr-马 All-预期所有物种

产品使用信息
应用 稀释度
蛋白质印迹法 1:1000
免疫组织化学(石蜡) 1:800
免疫荧光法(免疫细胞化学) 1:200
保存
保存在 10 mM sodium HEPES (pH 7.5)、150 mM NaCl、100 µg/ml BSA、50% 甘油和低于 0.02% 的叠氮化钠中。-20℃ 保存。切勿分装抗体。

实验步骤

选择您的实验步骤
特异性/灵敏度
GAPDH (D16H11) XP® Rabbit mAb 可检测 内源性GAPDH 总蛋白水平。
物种反应性:
人, 小鼠, 大鼠, 猴

基于 100% 序列同源性预测发生反应的物种:


来源/纯化
通过采用与人 GAPDH 的羧基末端附近的残基相对应的合成肽对动物进行免疫接种来产生单克隆抗体。

背景
在糖酵解期间,甘油醛-3-磷酸脱氢酶 (GAPDH) 会催化甘油醛-3-磷酸的磷酸化。尽管各组织之间存在差异性表达 (1),但 GAPDH 被认为是一种组成型表达的持家蛋白。所以,经常在定量其他靶标特异性表达变化的实验中检测 GAPDH mRNA 水平和蛋白水平作为对照。最近的研究已经阐明了 GAPDH 在凋亡 (2)、基因表达 (3) 和胞核转运 (4) 中的作用。GAPDH 还可能在神经退行性病变(如亨廷顿病和阿尔茨海默病)中发挥作用 (4,5)。
Barber, R.D. et al. (2005) Physiol. Genomics 21, 389-95.
Hara, M.R. and Snyder, S.H. (2006) Cell Mol. Neurobiol. 26, 527-38.
Zheng, L. et al. (2003) Cell 114, 255-66.
Bae, B.I. et al. (2006) Proc. Natl. Acad. Sci. USA 103, 3405-9.
Wang, Q. et al. (2005) FASEB J. 19, 869-71.
Kozako, T. et al. (2015) Sci Rep 5, 11345.
通路与蛋白质
探索与本产品相关的通路 + 蛋白质。

查看产品实时价格及库存请点击【伊诺凯试剂商城】提供化学试剂、生物试剂、分析试剂、标准品、仪器耗材,1200+国内外品牌,800W+试剂种类,大量现货库存,多仓配送物流快捷,品牌试剂促销、每日特价商品、积分兑换礼物等活动:https://www.inno-chem.com.cn/detail/9846024.html

产品实物图

产品实物图产品实物图产品实物图产品实物图

商家信息

北京伊诺凯科技有限公司

营业执照已审核 企业已认证

联系人:王志 点击这里给我发消息

号码一: 156****

号码二: 156****

VIP企业默认展示联系方式,非VIP企业仅限注册登录用户可见

  • 公司类型:贸易商
  • 成立时间:2010-06-24
  • 所在地区:北京市市辖区
  • 注册资本:1200万元
推荐供应商

产品: